

「噛める喜び、食事の楽しみ」
その想いに、私たちは
先進的設備と技術で応えます
口腔外科認定医のドクターによる
CT・ガイド併用の安心インプラント治療や、
様々な口腔外科処置はお任せください。
神戸市・芦屋市で、抜歯やその後の治療に悩む方は、
神戸住吉駅前歯科へご相談ください。
DENTIST
口腔外科・インプラント担当
歯科医師紹介
-
中村 元
Nakamura Hajime
神戸住吉駅前歯科 院長
- 朝日大学歯学部卒業
- 公益社団法人 日本口腔外科学会 口腔外科認定医
- NeO-Cap.System® ビムラー矯正臨床研究会
- ラオス国口唇口蓋裂チャリティーオペレーション 参加
- 日本救急医学会認定ICLS Provider 取得
- スーパーペリオ塾 修了
- 東京SJCDレギュラーコース 修了
- 日本緩和医療学会 研修終了
-
原田 一生
Harada Issei
- 朝日大学歯学部卒業
- 公益社団法人 日本口腔外科学会 口腔外科認定医
- 和歌山県立医科大学病院歯科口腔外科・麻酔科・救急科 勤務
- 橋本市民病院口腔外科勤務
- 緩和ケア研修会修了
医療法人真心会グループ
在籍ドクター20名超、神戸市を中心に5院を展開
持続可能な医療を提供し続ける医療法人グループです
IMPLANT
-
失った歯を
取り戻す
インプラント治療 -
神戸住吉駅前歯科では
安心・安全のインプラント治療のため- 先進的設備を用いた資料取りとシミュレーション
- 徹底した滅菌、感染対策
- 患者様への確実なご説明、
ご納得の上での治療をお約束します。
インプラント治療について
-
Quality01
先進的設備とガイドを用いた
安心のインプラント
当院ではGC社の新型CT・マイクロスコープ・サージカルガイドを活用し、治療前に精密なシミュレーションを行った上でインプラント手術をおこないます。
骨の形態や神経の位置を立体的に確認し、理想的な角度・深さにインプラントを埋入できるように計画。
「見えない部分」まで精密に可視化することで、手術中のリスクを最小限に抑え、痛みや腫れの少ないインプラント治療を実現しています。
また専用のオペ室もあり、徹底した滅菌・感染対策もしています。
-
-
Quality02
口腔外科認定医という
確かな技術で安心を日本口腔外科学会の口腔外科認定医が複数名います。
大学病院や総合病院での口腔外科勤務を経て、親知らずの抜歯から顎骨再建、インプラント手術まで幅広い外科処置に携わってきました。
その豊富なオペ経験に基づく確かな判断力と技術力で、骨の少ないケースや全身疾患をお持ちの方など、難症例にも安全に対応いたします。

-
Quality03
豊富な症例数と自信があるから
インプラント治療後の
アフターケア・保証も充実当グループでは年間100症例以上のインプラント治療実績があります。
治療が終わってからが本当のスタートと考え、定期的なメインテナンスや咬み合わせチェック、クリーニングを通じて長期安定をサポート。
また、インプラントには○年間の保証制度を設けており、もしものトラブル時にも迅速かつ誠実に対応いたします。
「入れて終わり」ではなく、“その先の安心”まで見据えたインプラント治療を提供しています。
こんなお悩みもご相談ください
- なるべく短い期間で治療を終わらせたい⇒歯茎の状態にもよりますが、抜歯即時埋入も対応しています。
- 手術が怖いので、しっかりと麻酔をしてほしい⇒多くのオペ手術を経験している口腔外科認定医がしっかりと麻酔の効きも確認しながら治療を進めます。静脈内鎮静麻酔も対応しています。
- 他院で骨が少なくてインプラントは難しいと言われた⇒当院では骨補填材などの材料や様々な治療方法を併用し、多くの症例に対応しています。 ぜひご相談ください。
- インプラントと入れ歯で迷っている⇒あなたの生活習慣に合わせて最善のご提案をさせて頂きます。費用も一緒にご提案しますので、治療方法をお選び頂けます。
- できるなら歯を残したい⇒歯科医師として、できる限り天然歯を残す治療を選択しています。
当院ではマイクロスコープを用いた精密根管治療で他院で残せないと言われた歯を残した実績も多くございます。ぜひご相談ください。 - 費用がどの程度になるか心配⇒まずはCTを撮影し、見積もりをお出しします。その場で決めなくても大丈夫です。
オールオンフォー・
オールオンシックス・
インプラントデンチャーなど
全顎インプラントも対応
-
失った歯を、4本または6本のインプラントで支える治療法
オールオンフォー・オールオンシックス
-
抜歯と同時にインプラントを埋入する当日治療も可能なインプラント治療
抜歯即時埋入※症例により
-
インプラントで入れ歯をしっかり固定し、噛みやすさと安定性を高める治療法
インプラントデンチャー
-
ソケットリフト、GBR、サイナスリフトなど不足したあごの骨を再生・補強する治療
骨造成治療

-
静脈内鎮静麻酔も
対応しています手術が怖い方や緊張しやすい方のために、当院では「静脈内鎮静麻酔(セデーション)」を導入しています。
点滴によって“うとうとしたリラックス状態”のまま治療を受けられるため、痛みや恐怖を感じにくく安心です。
麻酔の管理に精通した歯科医師が全身の安全を確認しながら行うため、インプラントや親知らずの抜歯にも適しています。
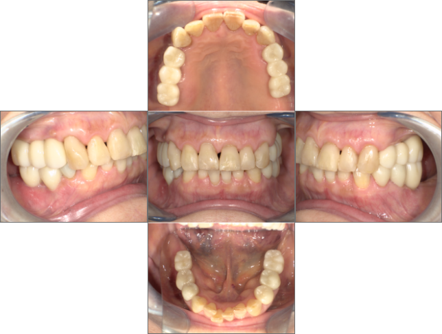
症例
-

治療期間 6カ月(全期間) 治療費 インプラント体6本、上部構造物8本 合計¥3,074,500(税込)
その他補綴物費用 10本合計¥583,000(税込)リスクについて ①歯周病(インプラント周囲炎)のリスクがあるため、定期的に専門のメインテナンスが必要。
②術後の一般的な合併症、偶発症(親知らずの抜歯と同等な物が多い)
③人工物だが、自然な歯と同様消耗品で、変化(削れたり、破れたりが経年的に起こる可能性
④欠損部分が大きければ大きいほど、治療には期間を要するので、症例によっては歯がない期間が存在する可能性があります。 -

治療期間 6カ月(全期間) 治療費 インプラント体6本、上部構造物8本 合計¥3,074,500(税込)
その他補綴物費用 10本合計¥583,000(税込)リスクについて ①歯周病(インプラント周囲炎)のリスクがあるため、定期的に専門のメインテナンスが必要。
②術後の一般的な合併症、偶発症(親知らずの抜歯と同等な物が多い)
③人工物だが、自然な歯と同様消耗品で、変化(削れたり、破れたりが経年的に起こる可能性
④欠損部分が大きければ大きいほど、治療には期間を要するので、症例によっては歯がない期間が存在する可能性があります。
インプラントの豊富な経験と治療実績を誇る歯科医師が丁寧に対応いたします。
まずはお気軽にご相談ください。
- インプラント治療の内容を詳しく知りたい
- 入れ歯やブリッジとの違いを教えてほしい
- 他院で治療を断られて困っている
- 治療費用について相談したい
ORAL SURGERY
-
認定医による
精巧で安心なった歯を
口腔外科治療 -
口腔外科治療とは
「親知らずの抜歯」「外傷対応」「口の中のできもの」「口腔がんの精査」など、お口の中の外科的な疾患やトラブルを専門的に扱う分野です。
当院では日本口腔外科学会認定医が複数在籍し、CTやマイクロスコープを用いた正確な診断と安全な外科処置を行っています。

-
親知らずの抜歯
親知らずは、生え方や位置によって痛み・腫れ・隣の歯への悪影響を引き起こすことがあります。
当院ではGC社の新型CTで神経や骨の位置を正確に把握し、口腔外科認定医による安全で痛みの少ない抜歯を行っています。
できるだけ腫れやダウンタイムを抑える低侵襲な手術を心がけ、術後のケアも丁寧にサポートします。
また、最近では成長期が終わる前の若い年代で親知らずを抜いておく方も増えています。
骨がやわらかく、神経との距離も取りやすいため、若いうちの抜歯のほうが身体への負担が少なく、回復も早いのが特徴です。
-
外傷対応
転倒やスポーツ中のケガなどで歯が折れた・抜けた場合は、できるだけ早い受診が重要です。
当院では、歯の再植、歯肉や顎骨の損傷など、外傷後の応急処置から修復治療まで一貫対応いたします。
お子さまから大人の方まで、緊急対応も可能です。 -
口の中のできもの
頬の内側や舌、歯ぐきに「できもの」や「しこり」が見られる場合、良性腫瘍や粘液嚢胞などの可能性があります。
当院では口腔外科認定医が病変の状態を慎重に診断し、必要に応じて切除や病理検査を実施します。
「いつもと違う」と感じたら、早めの受診をおすすめします。 -
口腔がんの不安
口の中に治らないできもの、出血、白い・赤い斑点などがある場合、口腔がんの初期症状の可能性もあります。当院では、大学病院や総合病院の口腔外科で口腔がんの診療経験を積んだ歯科医師が診察を行います。視診・触診・細胞診・病理検査などを通して早期発見に努め、必要に応じて大学病院との連携精査も実施。「がんかもしれない」と不安を感じた時に、まず相談できる地域の専門医として、丁寧に確認・説明を行います。
-
入院前の口腔ケア
全身麻酔を伴う手術や、がん治療・心臓病治療などの前には、口腔内の清掃状態を整えることが重要です。
当院では、医科からの紹介・依頼に対応し、入院前の感染リスクを減らすための口腔ケア・抜歯・歯石除去を実施しています。
安全な治療のために、医科との連携体制も整えています。
MESSAGE
メッセージ
-
「後悔しないインプラント・口腔外科治療を」
当院では、“後悔しないインプラント・口腔外科治療”を理念に掲げ、患者さんが一生快適に噛める歯を取り戻すことを目指しています。
大学卒業後、大学病院や救急病院の口腔外科で、数多くの外科処置・インプラント手術に携わってきました。
そこで学んだのは、「確かな技術」だけでなく、「丁寧な診断」と「患者さんの安心」が何より大切だということです。
その思いから、現在も最新のCT・マイクロスコープ・ガイドシステムを導入し、安全で精密な治療環境を整えています。
これからも、地域の皆さまに「ここで治療してよかった」と心から思っていただけるよう、一人ひとりに寄り添った誠実な治療を提供してまいります。 -
神戸住吉駅前歯科 院長中村 元
歯科医師原田 一生
医院概要

-
医院名 神戸住吉駅前歯科
ママとこどものはいしゃさん 神戸住吉院住所 〒658-0053
兵庫県神戸市東灘区住吉宮町3丁目16−3
グリーンテラス住吉Tel 078-200-6402 アクセス JR住吉駅 徒歩1分
阪神住吉駅 徒歩8分
阪神御影駅 徒歩8分駐車場 ※駐車場は医院横(にぎり長次郎と共用)のパーキングをお使いください。
※駐車場をご利用の場合は、駐車券400円分をお渡ししていますので、お声がけください。





